Стоматологическая клиника Motivation clinic на улице Александры Монаховой

Популярные услуги

Акции и скидки

Виниры. Цена под ключ 25000
Срок действия
Постоянная акция
Металлокерамическая коронка под ключ
Срок действия
Постоянная акция
Съемные протезные конструкции
Срок действия
Постоянная акция
Художественная реставрация зубов под ключ
Срок действия
Постоянная акция
Циркониевая коронка
Срок действия
Постоянная акция
Комплексная гигиена полости рта
Срок действия
Постоянная акция
Фиксация брекетов
Срок действия
Постоянная акция

Подробнее о компании Motivation clinic

Зачем мы обычно обращаемся в стоматологию? Как правило, если нас настигла острая зубная боль. В стоматологической клинике Motivation clinic с профессионализмом отнесутся к вашей проблеме. Передовые разработки в сфере стоматологии позволяют нашим специалистам успешно излечивать заболевания полости рта и проводить профилактические мероприятия.

Если вы всерьез решили добиться сияющей улыбки, то следует доверить это экспертам. В стоматологической клинике Motivation clinic имеется специализированное оборудование для того, чтобы ваши зубы снова стали белоснежными. Наши стоматологи оказывают услуги лечения кариеса, удаления зубов, компьютерной томографии, отбеливания, исправления прикуса, рентгенологической диагностики, изготовления имплантов, а также установки металлокерамики, брекетов, имплантов, виниров. С нами ваша улыбка будет яркой, а зубы крепкими!

Ваш ребенок не любит зубного врача? В нашей стоматологической клинике нет места детским страхам! Наши доктора настоящие профессионалы, они знают, как найти подход к самым маленьким пациентам.

Записаться на прием к интересующему вас специалисту можно по указанным телефонам.

Наш рейтинг на порталах
Доступная среда
пандус, удобный вход для людей с инвалидностью
Способы оплаты
картой, наличные, перевод на карту

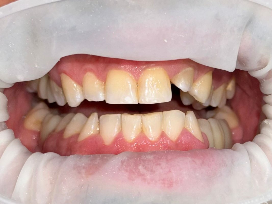
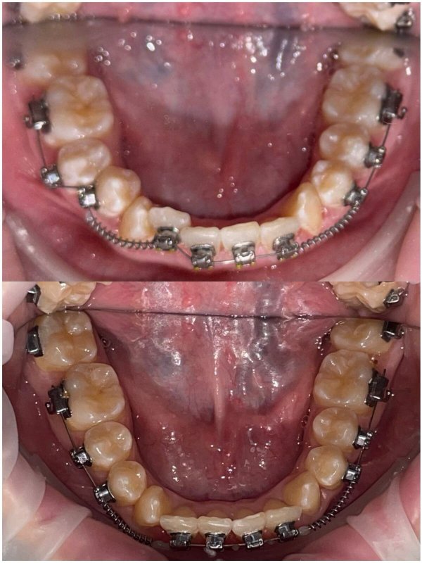
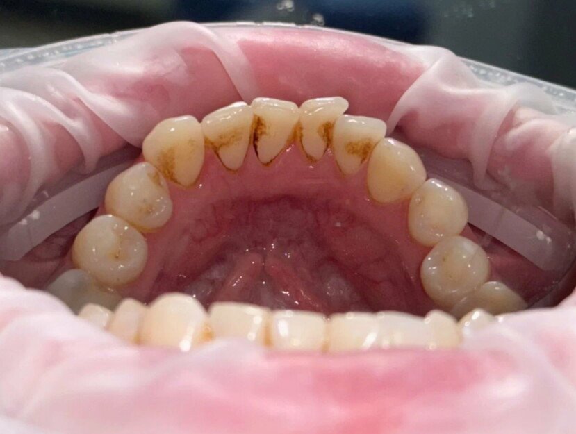
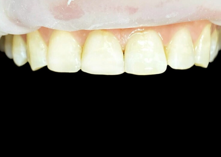
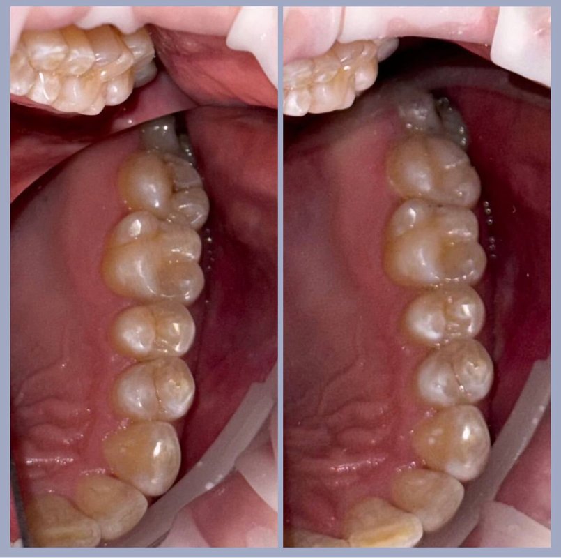
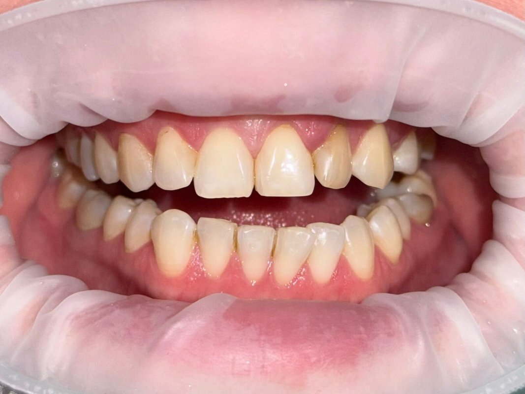
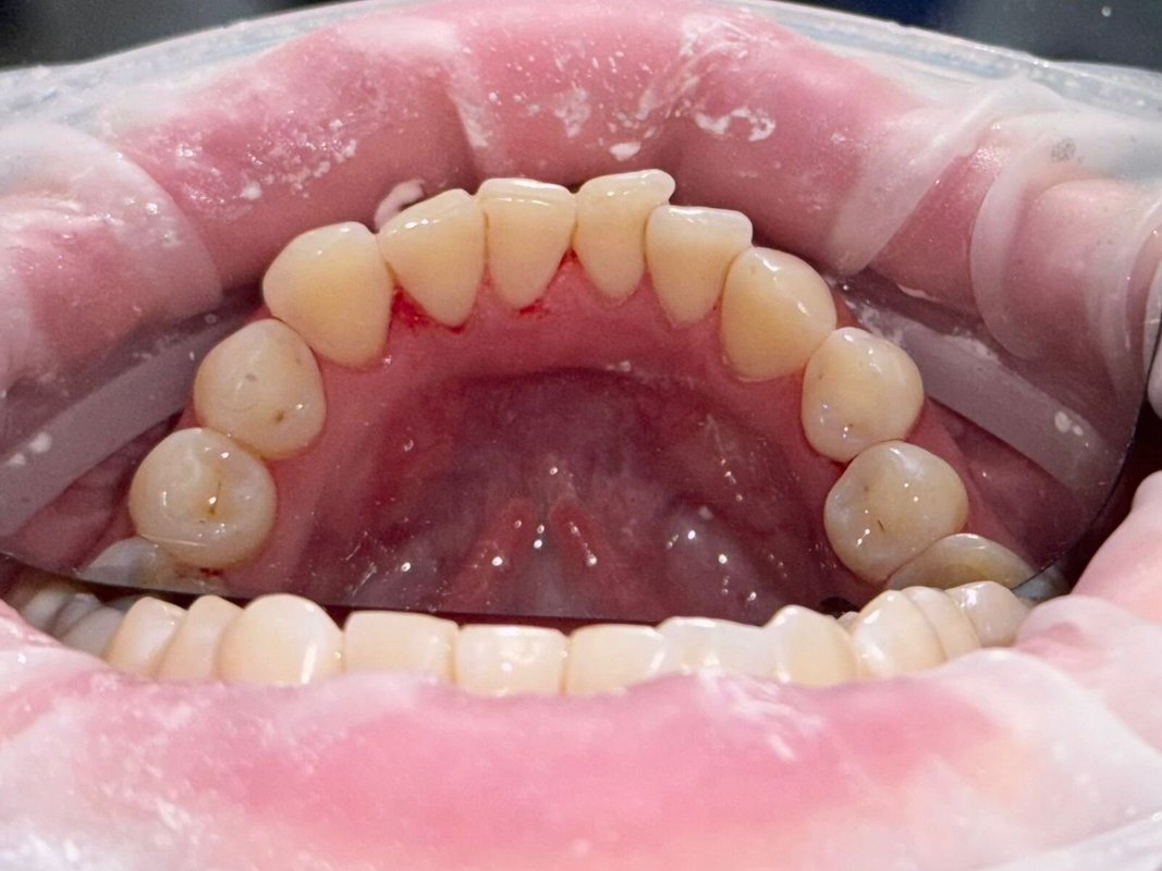
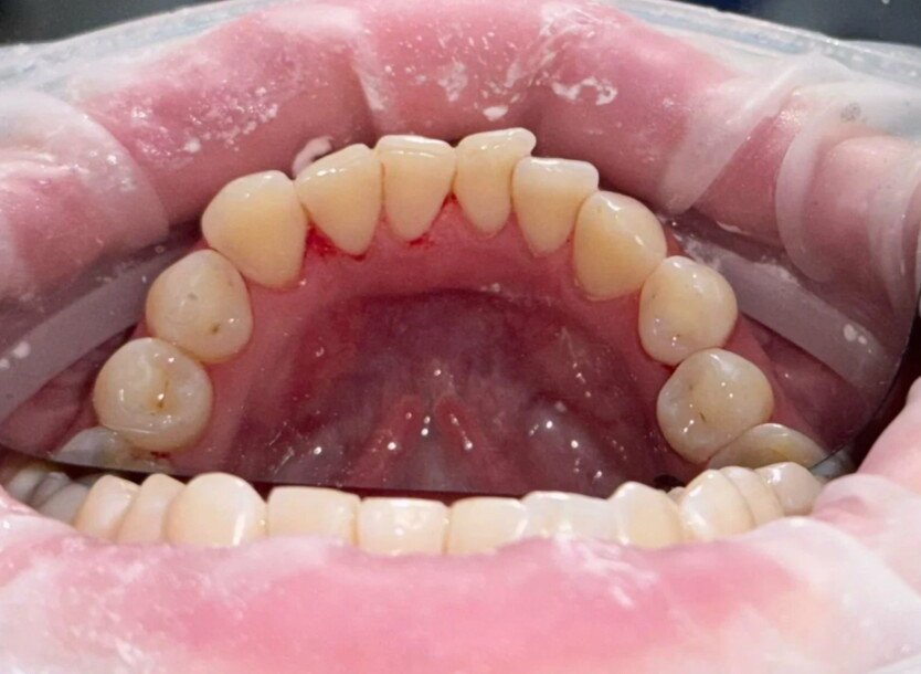
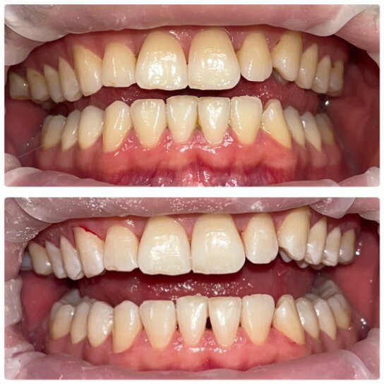
Фотогалерея

Специалисты

Эмин Фарзалиевич Амирасланов
Эмин Фарзалиевич Амирасланов

Специализация: ортопедия, протезирование зубов, установка виниров

Ключевые направления работы:

Установка керамических и композитных виниров

Изготовление коронок и вкладок

Съемное и несъемное протезирование

Работа с индивидуальными капами

Ортопедическое лечение на имплантах

Особенность подхода: помогает пациентам преодолеть страх перед стоматологическим лечением, возвращая им здоровую и красивую улыбку.
Эмиль Рустамов
Эмиль Рустамов
Специальность: 1)Лечение кариеса зубов 2)Профессиональная чистка зубов 4)Работа с рентгеновскими снимками для диагностики 7) всё виды ортопедического лечения Коронки виниры И протезирования на импланты All in 4 All in 6 Частичный съемный протез Полный съемный протез
Мохамад Ибрахим
Мохамад Ибрахим
Обязанности: 1) Коронки, виниры, тотальное протезирование 2) Тотальное протезирования на имплантатах All-on-4; All-on-6 3) Полно съёмное протезирование, частично съемное протезирование 4) Лечение кариеса зубов. 5) Фронтальные и жевательные художественные реставрации 6) Профессиональная гигиена полости рта 7) Работа с рентгеновскими снимками для диагностики
Айтач Гулиева
Айтач Гулиева
Терапевтическое лечение кариеса, пульпита, периодонтита. Ортодонтическое лечение взрослых и детей в полном объеме с использованием современных методов лечения (несъемная техника - брекет-система, аппараты для быстрого небного расширения; съемная техника - элайнеры (Flexiligner), пластинки, функциональные аппараты; использование абсолютной кортикальной опоры (минивинтов) в лечении пациентов)

Отзывы

5,0
Кристина
Посетила клинику , осталась очень довольна работой стоматолога терапевта Валентины . Врач работал оперативно, уже записалась на следующий осмотр
7 апреля 2025 Отзыв взят с сайта Zoon.ru
5,0
Севда
Если бы можно было бы поставить 10 звезд, я бы поставила!! Мой широкопрофильныйврач-стоматолог Айтач, это просто шикарный врач!! Я очень довольна работой которую проделала доктор, отношением к пациенту, человечность, которая сейчас только у редких врачей! Я была сегодня на первичном приеме, лечила зуб. И до этого на консультации, на которой мы с врачом очень детально обсудили весь предстоящий процесс лечение брекетами и лечение остальных зубов. Доктор Айтач очень терпеливо и подробно отвечала на все меня беспокоящие вопросы. Я очень довольна на данный моментом и своим врачом и прекрасными администраторами этой клиники, особенно Наталией! Я знаю о чём говорю и поверьте мне есть с чем сравнить! Надеюсь и дальше до конца полного лечения я также останусь довольна 😊! Единственный неприятный момент который реально портит статус клиники это ободранный, старенький диван у входа. Обращаюсь к руководству, с просьбой обратить на этот момент внимание! Ведь совместимость красоты, качества и чистоты-это делает всё живое и неживое просто бесподобным!!!
23 марта 2025 Отзыв взят с сайта Zoon.ru
5,0
Инна
Вчера была на приеме у доктора Ибрагима, делала чистку зубов. Более деликатного подхода я не встречала. Врач провел также грамотную и подробную консультацию. Хочу отметить внимательный и профессиональный подход врача к своему делу.
2 марта 2025 Отзыв взят с сайта Zoon.ru
5,0
Дарья
Была на гигиенической чистке у врача Айтач, осталось очень хорошие впечатление, врач ответила на все интересующие меня вопросы и проконсультировала. Обязательно буду обращаться в будущем.
1 марта 2025 Отзыв взят с сайта Zoon.ru
5,0
Вилена
Добрый день! Сегодня посетила данную стоматологическую клинику и хочу поделиться своими впечатлениями. Хочу отметить высокий профессионализм и индивидуальный подход к пациентам. Особенно хочу выделить доктора Ибрагима, у которого я была на консультации. Он проявил внимание и заботу, подробно рассказал о возможных вариантах лечения и ответил на все мои вопросы. Атмосфера в клинике комфортная, персонал вежливый и доброжелательный. Рекомендую)
9 февраля 2025 Отзыв взят с сайта Zoon.ru
5,0
Ольга
Здравствуйте, проходила осмотр у доктора Азиза. Очень понравилось его внимательное отношение, видно, что человек очень ответственно относится к своей работе. Помог, бережно вылечил зуб. Понравилась эта клиника еще и тем, что цены здесь нормальные, адекватные Всем советую эту клинику и доктора Азиза
25 сентября 2024, отредактирован 26 сентября 2024 в 15:09 Отзыв взят с сайта Zoon.ru
Удалить отзыв

Остались вопросы?

Вы можете воспользоваться любым из указанных способов связи
Контактный номер
+7 (901) 257-28-... Показать